Before & After
Braces Smile Gallery

Windsor

As Featured On

Before and After Braces Treatment

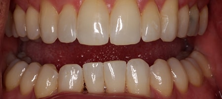
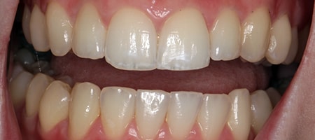
A picture paints a thousand words. Below are examples of smile makeover examples from simply whitening teeth, using Invisalign clear braces or full smile makeovers using veneers, crowns and implants.

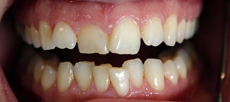
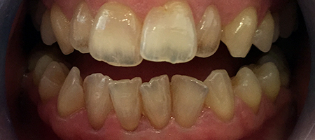
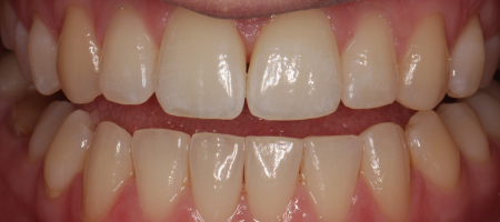
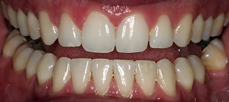
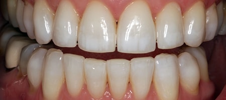
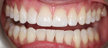
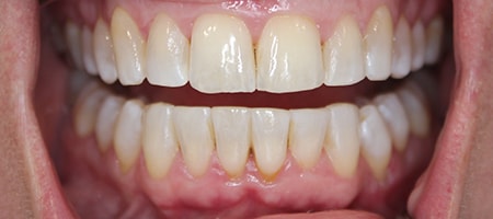
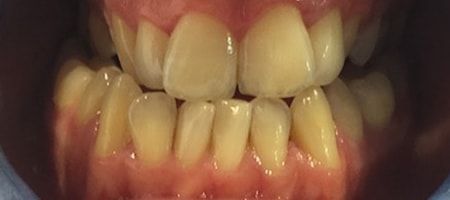
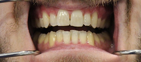
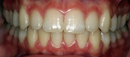
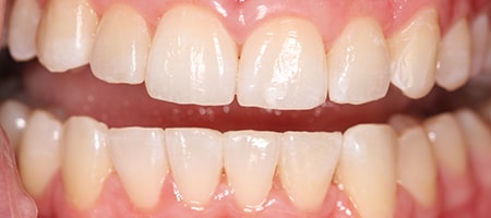
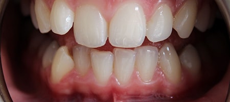
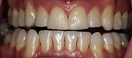
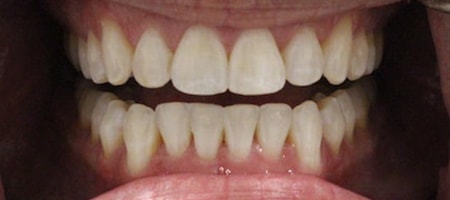
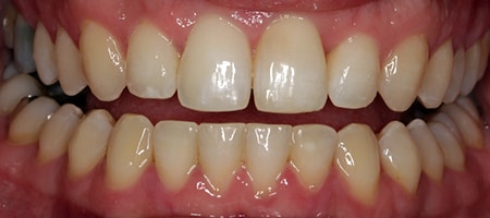
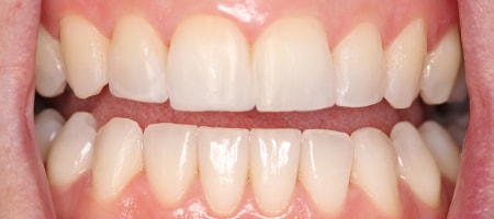
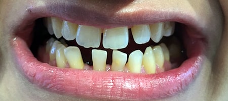
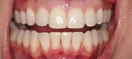
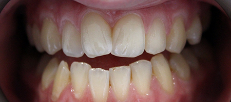
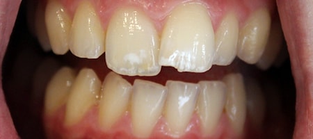
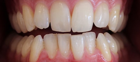
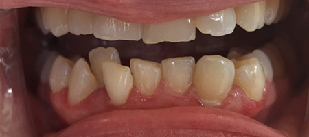
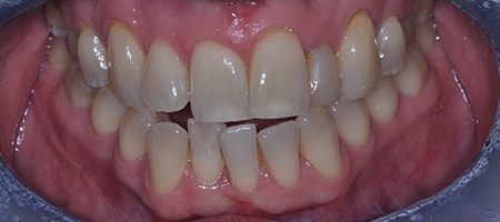
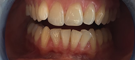
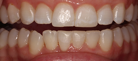
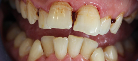
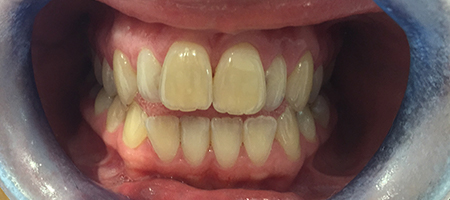
Crossbite

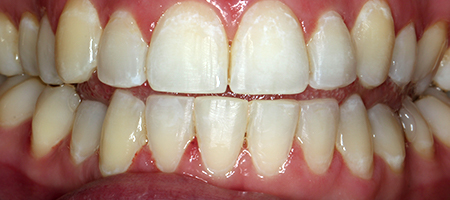
Before Invisalign Treatment Reading Smiles
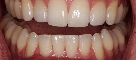
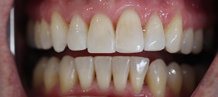
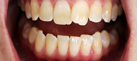
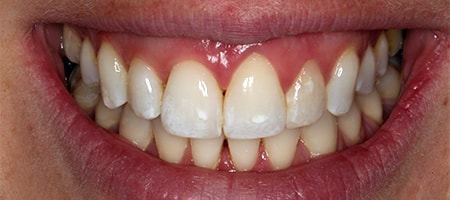
After Invisalign Treatment Reading Smiles
Before Invisalign Treatment Reading Smiles
After Invisalign Treatment Reading Smiles

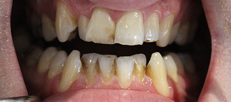
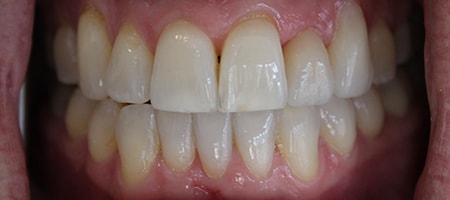
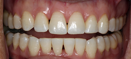
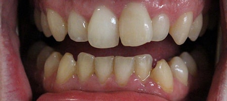
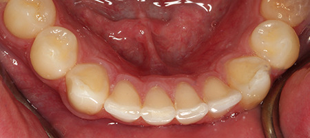
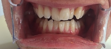
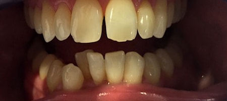
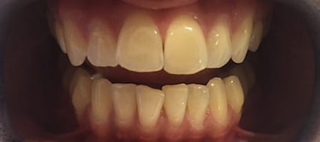
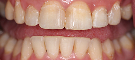
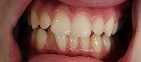
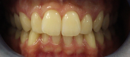
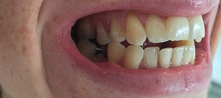
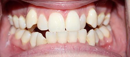
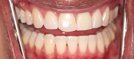
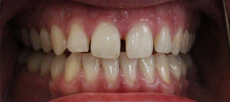
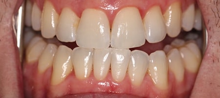
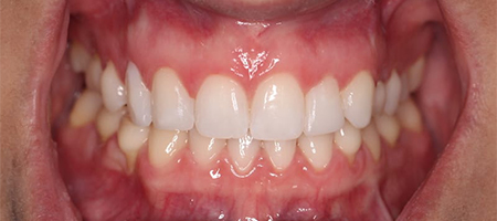
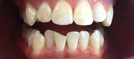
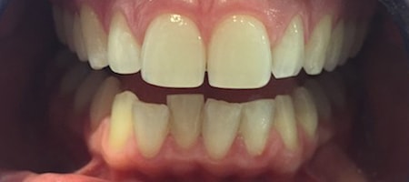
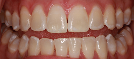
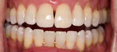
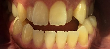
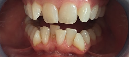
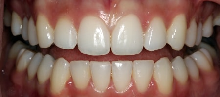
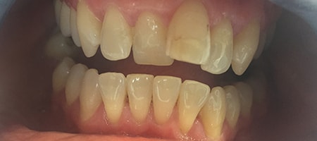
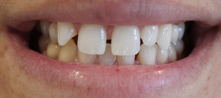
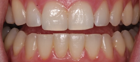
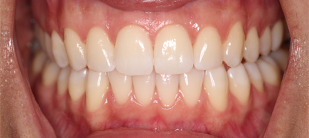
Under Bite

Before Invisalign Treatment Reading Smiles
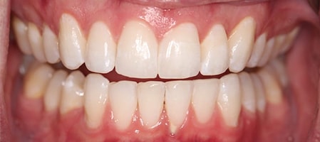
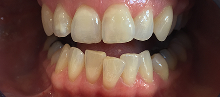
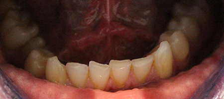
After Invisalign Treatment Reading Smiles